Gioco erotico finito male, operato d’urgenza con flacone di deodorante nel retto
Un gioco erotico finito male, decisamente male. Un uomo è stato operato d’urgenza dopo che un flacone di deodorante è rimasto incastrato nel suo retto.
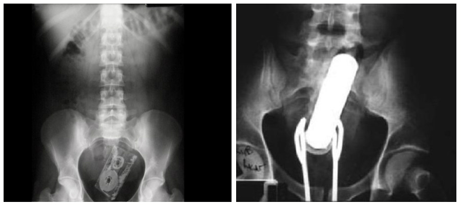
Il 30enne di nazionalità iraniana stava facendo sesso con la propria moglie quando, per rendere la situazione ancora più piccante, ha pensato di praticare un gioco erotica inserendosi un flacone di deodorante per ambienti nel retto.
L’uomo ha chiesto assistenza soltanto due ore dopo aver inserito il flacone, presentandosi al Pronto soccorso con un “dolore addominale acuto”. I raggi X hanno poi rivelato le cause, dietro l’incredulità di medici e chirurghi che hanno praticato un’incisione rimuovendo il flacone. L’uomo, dopo l’episodio, ha promesso di non far più di testa sua.
